Esetbemutatás: Fogszabályozás és e.max kerámia héjak
Tökéletes mosoly e.max kerámia héjakkal: Egy komplex esztétikai átalakítás története
A mai modern esztétikai fogászatban a „szép mosoly” már nem csupán fehérebb fogakat jelent. Egy valóban igényes átalakítás során az arc harmóniáját, a fogak dőlésszögét, az íny lefutását és a rágófunkció helyreállítását is figyelembe kell vennünk. Ebben az esetbemutatásban egy hölgy páciensünk útját követjük végig, aki a ragyogó e.max kerámia héjak segítségével nyerte vissza önbizalmát.
Az első konzultáció: Miért nem elég csak a héj?
Hölgy páciensünk azzal a kéréssel érkezett klinikánkra, hogy esztétikus, fehér és szabályos fogsort szeretne. Az alapos diagnosztika során azonban hamar nyilvánvalóvá vált, hogy a vágyott eredmény eléréséhez a fogszabályozás elengedhetetlen előfeltétel. A fogak eredeti helyzete nem tette volna lehetővé a héjak tartós és esztétikus felhelyezését anélkül, hogy túl sok egészséges foganyagot áldozzunk fel.
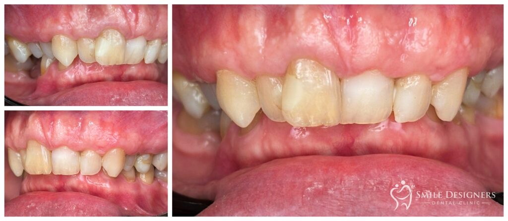
Kiindulási állapot: fogszabályozás nélkül csak kompromisszumos lehet a végeredmény
1. fázis: Alapozás és egészségügyi előkészítés
A kezelést a Smile Designers Dental Clinic protokollja szerint a biológiai alapok rendbetételével kezdtük:
- Fogkő eltávolítás: A professzionális tisztítás biztosította az íny gyulladásmentességét.
- Régi tömések cseréje: Megszüntettük a szuvasodásokat és stabil alapot teremtettünk a későbbi pótlásoknak.
Fogszabályozás előtti állapot
2. fázis: Esztétikai előfogszabályozás aligner terápiával
A páciens számára kritikus szempont volt az idő és a kényelem. Ezért egy pontosan tervezett aligner (átlátszó sín) terápiát alkalmaztunk.
A folyamat részletei:
- A kezelés összesen 9 pár síből állt.
- Minden egyes sínt szigorúan 2 hétig kellett hordani.
- A teljes fogszabályozási fázis mindössze 4,5 hónap alatt sikeresen lezajlott.
Fontos hangsúlyozni, hogy ennek az aligner terápiának pusztán az esztétikai előfogszabályozás volt a célja, hiszen a kezdetektől fogva e.max kerámia héjak felhelyezését terveztük a végső fázisra.
3. fázis: Mosolytervezés és biológiai korrekciók
A fogak szabályos pozícióba kerülése után következett a precíziós mosolytervezés. Meghatároztuk az új fogformákat és a páciens arc karakteréhez illő méreteket.
Belső fogfehérítés és ínykontúrozás
A tökéletes szimmetria érdekében két kiegészítő beavatkozásra volt szükség:
- Belső fehérítés: Az egyik elszíneződött elülső fogat belülről fehérítettük ki, hogy a sötétebb alap ne üssön át a vékony kerámián.
- Ínykontúr módosítás: Korrigáltuk az íny lefutását, hogy a két nagymetsző fog ínyvonalának magassága teljesen szimmetrikus legyen.
A fogszabályozás utáni állapot és a digitális mosolytervezés
4. fázis: A finálé – e.max kerámia héjak és funkcionális helyreállítás
A felső frontfogakra egyedi, BL4 árnyalatú (természetesen fehér) e.max kerámia héjak készültek. Ez az anyag a fogászat „arany sztenderdje”, mivel fényáteresztő képessége szinte megegyezik a természetes fogzománcéval.
A kezelés során nem feledkeztünk meg a rágófunkcióról sem. Az alsó állcsontban hiányzó őrlőfogakat esztétikus cirkon hidakkal pótoltuk, így biztosítva a stabil harapást és a hosszú távú tartósságot.
Az elkészült mosoly: BL4 emax kerámia héjakkal
Miért az e.max kerámia héjakat választottuk?
Az e.max kerámia héjak (lítium-diszilikát) rendkívül tartósak, miközben minimális fogelőkészítést igényelnek. A BL4 színválasztás lehetővé tette, hogy a páciens mosolya természetesen fehér, mégis hiteles maradjon. A selymes felszíni textúra és a mamelon-struktúrák utánzása teszi ezeket a pótlásokat láthatatlanná a külső szemlélő számára.
Összegzés
Ez az eset jól mutatja, hogy a türelem és a tudatos tervezés kifizetődik. A 4,5 hónapos fogszabályozás megteremtette azt az alapot, amelyre végül felépíthettük a páciens álmai mosolyát az e.max kerámia héjak segítségével.
Előtte / utána: fogszabályozás és BL4 emax kerámia héjak
Dr. Győrfi András a Smile Designers fogászati klinika alapítója és vezető fogorvosa. Diplomáját a Pécsi Tudományegyetem Fogorvosi szakán szerezte 2006-ban, 2009-ben szakvizsgát szerzett a Szegedi Tudományegyetemen. A Smile Designers klinikát 2014-ben alapította. Dr. Győrfi András esztétikai specialista, kiemelt szakágai a mosolytervezés, héjak készítése és implantológia. Rendelőjében számos kiváló fogorvos kollégával működik együtt, akik szakágaik legjobbjai.
You must be logged in to post a comment.